The kidneys are paired bean-shaped organs, found in the lower abdomen. They remove waste products from the body and clean blood. Cancer of the kidney, also called renal cancer is a condition in which cells of the kidney turn malignant, forming a tumour.
Based on the type of cells from which cancer is developed, the two common types of kidney cancer are present:
The symptoms of cancer may not be typically seen in the patient
Sometimes they are detected during routine master health check up
Any change in urinary symptoms, abdominal, back pain or blood in the urine calls for full investigations
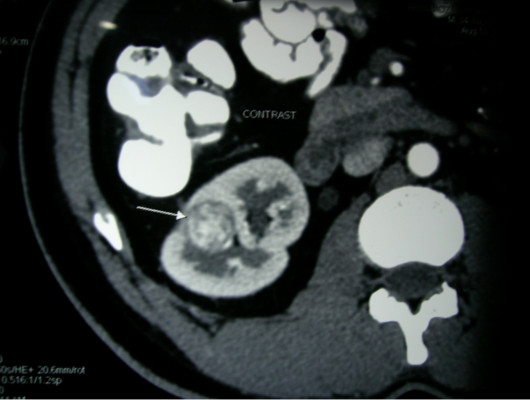
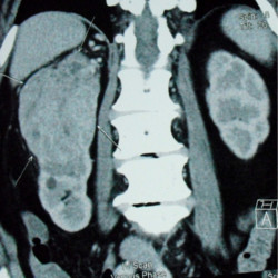
The purpose of testing is to diagnose and stage the Tumour :
Stage I – a tumour less than 7cm in the kidney.
Stage II – a tumour larger than 7cm in the kidney.
Stage III – a tumour in the kidney and nearby lymph nodes, main blood
vessels and tissues.
Stage IV – cancer may spread to other organs through blood vessels
and lymph nodes.
Treatment of choice is surgical removal of tumour containing kidney along with its surrounding fat and capsule. This is called Radical nephrectomy. This can be accomplished by laparoscopy method. Prognosis is very good when the diagnosis confirms early stage tumour.
If the tumour is small or if it is present in solitary kidney, local resection of tumour with surrounding tissue is done and is called partial nephrectomy.
When the tumour presents in advanced stage, immunotherapy and chemotherapy is given and may require palliative removal of kidney tumour also.
Prognosis and survival depends on varied factors like the type of cancer, the extent of spread of the disease etc.
© Copyright 2026 | Powered By Tech Thulasii